细胞骨架是真核细胞借以维持其基本形态的重要结构。细胞骨架可以帮助细胞实现运动、分裂和生长等基本生命过程,对于细胞的形状、细胞的运动、细胞内物质的运输、细胞分裂时染色体的分离和胞质分裂等均起着重要的作用。细胞骨架的主要成分是微管、微丝和中间纤维,微管蛋白在细胞结构支持、细胞内转运和DNA分离等过程中起到了不可或缺的作用。
在本期精选中,小编特别为您呈上明星抗体-K109781P,现在就加入我们,和TUBA1A一起,开启一段不可思议的科学之旅吧!
明星抗体三维数据卡
|
名称 |
Anti-TUBA1A Polyclonal Antibody |
|
编号 |
K109781P |
|
交叉反应 |
Human Mouse Rat |
|
应用 |
WB IHC IF |
|
推荐稀释比例 |
WB 1:1000-3000. IHC 1:50-200. IF 1:50-200.
|
抗体靶标
TUBA1A基因编码的蛋白质称为α-微管蛋白(α-tubulin)。微管蛋白(Tubulin)是球形分子,有三种类型,其中α-微管蛋白(α-tubulin)和β-微管蛋白(β-tubulin)约占微管蛋白用量的80%~95%,具有相似的三维结构,能够紧密地结合成二聚体,作为微管组装的亚基。微管蛋白具有GTP酶活性,能够聚合并且参与细胞分裂。α和β微管蛋白各有一个GTP结合位点,位于α亚基上的GTP结合位点是不可逆的结合位点,结合上去的GTP不能被水解。
TUBA1A参与微管蛋白的翻译后修饰,如酪氨酸化和去酪氨酸化,这些修饰对微管的稳定性和功能至关重要。α-微管蛋白的去酪氨酸化在调节微管稳定性方面起着重要作用,且这一过程对有丝分裂中的星体微管形成至关重要。
蛋白分子量
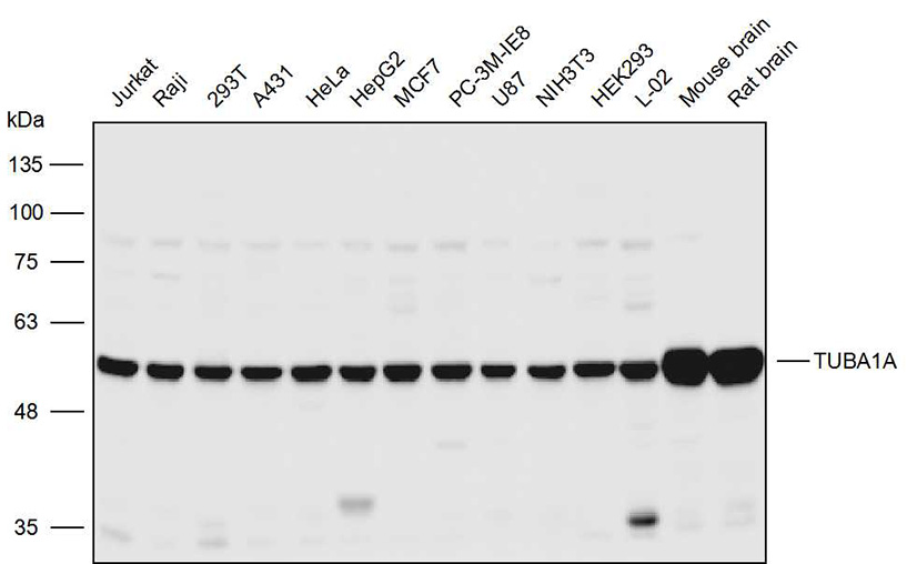
TUBA1A蛋白质的标准序列451个氨基酸,理论分子量约46/50kDa,实际蛋白分子量约50kDa(参考Western blot验证结果)。

图 1 K109781P-Western blot验证
亚细胞定位
TUBA1A定位于细胞质,细胞骨架。

图 2 TUBA1A的亚细胞定位示意图
组织分布
TUBA1A在胎儿大脑中高水平表达。

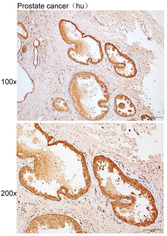
图 3 K109781P-Immunohistochemistry验证

图 4 K109781P-Immunofluorescence验证
生物学功能
在大脑处于发育状态时,α-微管蛋白主要由TUBA1A基因参与调控,该基因对脑发育早期细胞的迁移起到重要作用,其功能丧失突变可降低TUBA1A蛋白水平并阻止TUBA1A进入微管聚合物中,影响轴突延伸和前脑连合的形成。有研究表明TUBA1A基因的突变与无脑回畸形3型(Lissencephaly3)、脑瘫等神经系统疾病有关,可导致严重的大脑畸形,这些畸形统称为微管蛋白病,主要表现为中枢性运动障碍、姿势异常以及其他认知和行为问题。TUBA1A的表达模式和调控机制也是研究的热点,在神经系统发育时,TUBA1A高度表达,并在神经元成熟和形成过程时提供所需的α-微管蛋白。此外,TUBA1A在神经再生和修复中也可能发挥作用,其表达在神经损伤后被迅速诱导。这些研究揭示了TUBA1A在神经系统发育和功能中的多方面作用,以及其在神经系统疾病中的潜在重要性。
第二十三期产品星推荐就到这里啦!想要了解更多产品信息,请关注微信公众号:Solarbio索莱宝和索莱宝官方网站!
相关产品
|
产品名称 |
产品货号 |
|
Anti-TUBA1A Polyclonal Antibody |
K109781P |
|
Anti-TUBA1A/TUBA1B Polyclonal Antibody |
K110638P |
|
羊抗兔IgG-HRP |
SE134 |
|
SAlexa Fluor 594标记的羊抗兔IgG |
K1034G-AF594 |
|
Recombinant human TUBA1A protein |
P04331 |
|
TUBA1A/TUBA1B/TUBA1C/TUBA3C/ TUBA3E/TUBA4A Antibody Blocking Peptide |
K109179P-Ag |
|
TUBA1A/TUBA1B Antibody Blocking Peptide |
K110638P-Ag |
|
彩虹180广谱蛋白Marker(11-180KD) |
PR1910 |
|
BCA蛋白浓度测定试剂盒 |
PC0020 |
|
DAB显色试剂盒(金属增强法) |
DA1015 |
|
ECL Plus超敏发光液 |
PE0010 |
|
SDS-PAGE凝胶制备试剂盒 |
P1200 |
|
通用SP检测试剂盒 |
SP0041 |
|
Western blot通用试剂盒(兔) PVDF膜-0.45μm |
SWBT-001A |
|
全蛋白提取试剂盒(强) |
BC3710 |
